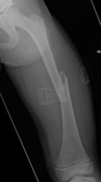
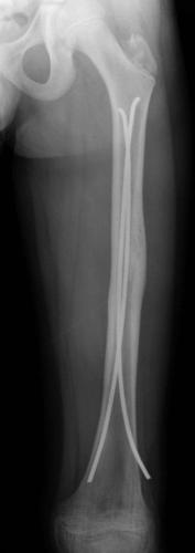
Fracture du fémur – ECMES 9 février 2024 par Damien Fracture diaphysaire du fémur G Fracture diaphysaire du fémur G : radiographie de FaceOn note un chevauchement et un déplacement en varus Fracture diaphysaire du fémur G Fracture diaphysaire du fémur G après Embrochage Centro-médullaire Elestique Stable. Radiographie post-opératoire de Face Fracture diaphysaire du fémur G Fracture diaphysaire du fémur G après Embrochage Centro-médullaire Elestique Stable. Radiographie de Face à 6 mois