Décollements épiphysaires de la cheville

Salter 1

Salter 2

Salter 3

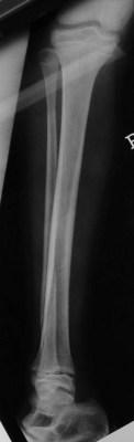
Fracture Salter 3 du tibia distal ou fracture de Tillaux
Fracture Salter 3 du tibia distal ou fracture de Tillaux
Le trait de fracture passe par le cartilage de croissance et se termine dans l'articulation détachant un fragment épiphysaire.
Il s'agit donc d'une fracture articulaire.

Salter 4