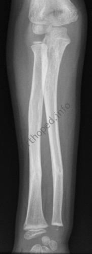
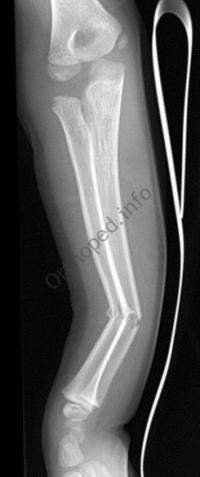
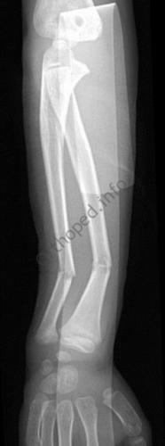
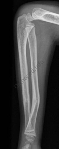
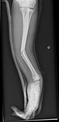
Fracture de l’avant-bras 31 mars 202519 mars 2024 par Damien Traitement Traitement orthopédique Embrochage centro-médullaire