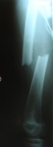
Fracture du fémur – Enclouage centro-médullaire

Chez le grand enfant, la fracture de fémur peut être traitée par un enclouage centro-médullaire qui apporte plus de stabilité à la fracture.

Ce traitement est possible à partir de 11-12 ans chez la fille et 13-14 ans chez le garçon.