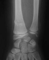
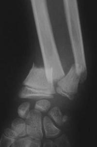
Fracture métaphysaire du poignet