Fracture métaphysaire du poignet

Métaphyse poignet -1 Radio initiale Face
Radio initiale : déplacement en valgus + chevauchement
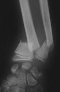
Métaphyse poignet -1 Radio initiale Profil
Radio initiale : bascule postérieure + chevauchement
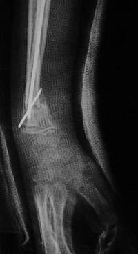
Métaphyse poignet -1 Radio post-opératoire Face
Radio post-opératoire après embrochage intrafocal du radius et centro-médullaire de l'ulna
Métaphyse poignet -1 Radio post-opératoire Profil
Radio post-opératoire après embrochage intrafocal du radius et centro-médullaire de l'ulna