Fracture métaphysaire du poignet

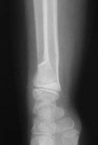
Fracture métaphysaire distale du radius : radio de Profil initiale
Noter la pliure postérieure source d'instabilité
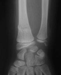
Fracture métaphysaire distale du radius : radio de Face initiale
Aspect de fracture en motte de beurre
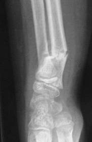
Fracture métaphysaire distale du radius : radio de Profil à J15
Déplacement secondaire à J15 de la fracture
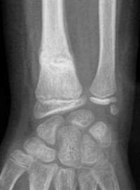
Fracture métaphysaire distale du radius  : radio de Face à J15
Contrôle radio de Face à J15 de la fracture traitée par plâtre brachio-palmaire