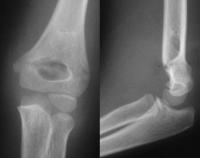
C’est la plus fréquente des fractures du coude de l’enfant.
Elle survient suite à une chute sur la paume de la main, coude tendu.
Le patient se présente dans l’attitude des traumatisés du membre supérieur.
Le déplacement est postérieur dans 95% des cas.

Examen clinique
L’examen clinique doit rechercher :
- une atteinte nerveuse : médian (et en particulier l’atteinte du nerf inter-osseux antérieur), radial ou ulnaire
- une atteinte vasculaire : recherche du pouls radial
Radiographie
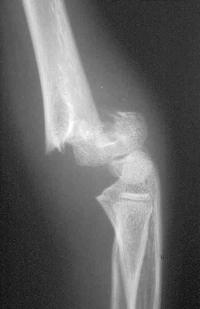
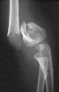
On demande une radiographie du coude Face et Profil
Le trait est transversal, extra-articulaire.
En fonction de l’importance du déplacement, on détermine le type de la fracture (classification de Lagrange et Rigault) :
- Stade 1 : fracture non déplacée, seule la corticale antérieure est touchée
- Stade 2 : bascule postérieure peu importante, les 2 corticales sont rompues
- Stade 3 : bascule importante mais les 2 fragments restent en contact
- Stade 4 : bascule importante, les 2 fragments ont perdu tout contact
Traitement
Traitement orthopédique
Réduction si nécessaire
- Elle se fait par manœuvres externes, sous anesthésie générale et sous contrôle d’un amplificateur de brillance.
- On débute par une traction dans l’axe, coude en extension et supination de l’avant-bras pendant plusieurs minutes
- Si nécessaire, on effectue une translation latérale par pression directe au niveau de la « palette humérale »
- Puis on fléchit le coude en appuyant sur l’olécrane
- On contrôle la face et le profil sur la scopie. Il est important de faire tourner l’amplificateur plutôt que le bras pour réaliser le profil car la réduction peut être instable et se déplacer lors des mouvements de rotation de l’épaule.

Contention par mise en flexion (pour les fractures à bascule postérieure). La stabilité est assurée par le périoste postérieur qui est le plus souvent intact.
Plâtre brachio-palmaire coude à 90° ou simple attelle postérieure. Ne convient qu’aux fractures non déplacées. Associer un bandage coude au corps pour éviter la rotation. Surveillance à J7 indispensable.
Consolidation en 5 à 6 semaines
Pas de rééducation systématique à l’ablation du plâtre

Méthode de Blount
Le principe est de maintenir le coude à 120° pour stabiliser la fracture par mise en tension du périoste postérieur.
Le poignet doit être maintenu devant le manubrium sternal, grâce à un petit bracelet plâtré, lui même fixé au cou par un jersey.
Surveillance à J7 indispensable.

Traitement chirurgical
Brochage percutané
C’est l’embrochage externe selon Judet.
Il consiste, sous anesthésie générale, après réduction, à stabiliser la fracture par 2 broches introduites en externe en percutané.

Brochage en Tour Eiffel
Une broche est introduite en externe comme dans le cas précédent, et une en interne, ce qui nécessite un abord pour éviter l’embrochage du nerf ulnaire.

Embrochage descendant
Technique de Métaizeau : on introduit 2 broches dans la diaphyse humérale, au niveau du V deltoïdien. Ces broches seront ensuite descendues dans chaque colonne.

Embrochage à foyer ouvert
L’abord chirurgical se justifie :
- en cas d’irréductibilité
- en cas d’embrochage interne pour éviter d’embrocher le nerf ulnaire.
Il sera réalisé le plus facilement par une voie interne qui permet de réduire la colonne interne sous le contrôle de la vue après repérage du nerf ulnaire puis de contrôler la colonne externe par un doigt passé en avant de la palette.
La broche externe sera alors mise de façon classique en percutané.
Quelque soit le type de traitement (sauf l’embrochage descendant de Métaizeau qui peut se passer d’immobilisation complémentaire), une immobilisation plâtrée sera mise en place pour 5 à 6 semaines.
Surveillance à J7 indispensable.