Aller au contenu
Menu
Accueil
Traumatologie
Orthopédie
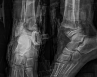
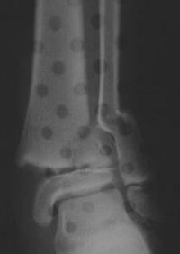
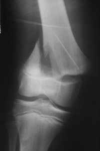
Salter 2
14 février 2024
25 janvier 2024
par
Damien
Exemples de décollements épiphysaires Salter 2