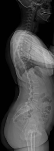
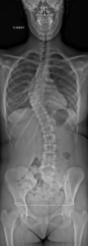
Images de scolioses opérées 16 janvier 202418 janvier 2023 par Damien Scoliose Thoracique 2 Scoliose thoracique Droite - cliché pré-opératoire de Face Scoliose thoracique Droite - cliché pré-opératoire de Profil Scoliose thoracique Droite - cliché post-opératoire de Face Scoliose thoracique Droite - cliché post-opératoire de Profil