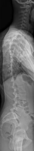
Images de scolioses opérées 16 janvier 202418 janvier 2023 par Damien Scoliose Thoracique 3 Scoliose thoracique D - Cliché pré-opératoire de Face Scoliose thoracique D - Cliché pré-opératoire de Profil Scoliose thoracique D - Cliché post-opératoire de Face Scoliose thoracique D - Cliché post-opératoire de Profil Aspect de la cicatrice à distance de l'intervention