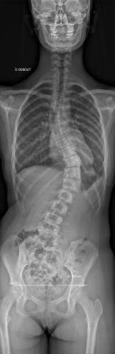
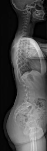
Images de scolioses opérées 16 janvier 202418 janvier 2023 par Damien Scoliose thoraco-lombaire 1 Radio préopératoire de Face Radio préopératoire de Profil Radio de Face à 2 ans de recul Radio de Profil à 2 ans de recul